近日,开云kaiyun体育官方网站在肿瘤图像分割和物联网与智慧医疗领域研究工作取得重要进展,相关成果分别在该领域顶级国际会议CVPR和TMC期刊上发表。
成果一:《SuperLightNet: Lightweight Parameter Aggregation Network for Multimodal Brain Tumor Segmentation》
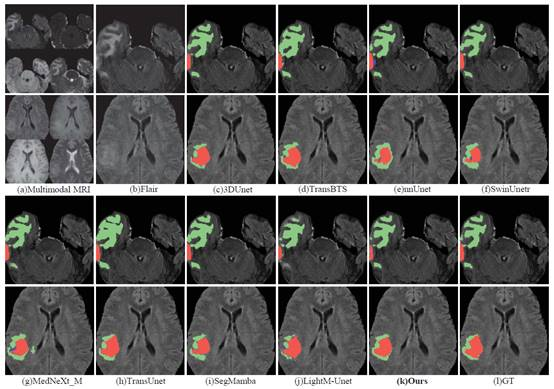
在MRI多模态脑肿瘤分割任务中需要大量计算资源和高性能计算设备。多模态3D肿瘤分割的关键挑战在于如何在保持高精度的同时,最小化网络的计算负载。本论文提出了一种新型的轻量化参数聚合网络(SuperLightNet),用于实现高精度、低计算量的高效编码器和解码器。实验结果表明,与当前最先进的方法相比,该方法的参数量减少了95.59%,计算效率提高了96.78%,内存访问性能提升了96.86%,平均性能提升了0.21%。

图1 提出的SuperLightNet网络结构

图2 脑肿瘤分割结果对比
该项研究成果发表在计算机国际顶级会议CVPR 2025上,姜明华教授为论文的通讯作者,所有作者单位均为武汉纺织大学。
计算机视觉与模式识别(Computer Vision and Pattern Recognition,CVPR)会议是计算机视觉与模式识别、人工智能领域的国际顶级会议,其在谷歌学术热门出版物排名第2(h5指数440),影响力仅次于Nature,是中国计算机学会(CCF)推荐的A类会议。本届CVPR有效投稿共13008篇,最终接收2878篇(接收率22.1%)。

图3谷歌学术热门出版物排行榜
成果二:《Ubicon-BP: Towards Ubiquitous, Contactless Blood Pressure Detection Using Smartphone》
吴渊博士提出了一种基于智能手机超声波的泛在血压检测方法,利用手机扬声器发出超声波感知心跳信号,利用手机摄像头感知手掌脉搏,将提取的心跳和脉搏信号建模,用于实时检测血压,为智慧医疗的应用提供了理论支撑。
文章链接:https://ieeexplore.ieee.org/document/10925891。

图4 论文相关信息
血压是与心力衰竭和肾损伤等严重疾病密切相关的重要生理参数。现有方法要么需要额外或专用硬件,要么要求与设备紧密接触,导致不适与不便。因此,开发一种便捷、非接触式的血压测量解决方案具有迫切需求。本研究提出Ubicon-BP 一种普适性、无设备依赖、非接触式的血压检测应用。该系统基于医学证实与血压相关的关键特征参数脉搏波传导时间(Pulse Transit Time, PTT)进行血压计算。然而,利用智能手机传感器实现非接触式PTT测量面临重大挑战,因其需要微秒级精度的心脏事件检测能力。为解决这一难题,创新性地结合智能手机声学传感器检测心脏瓣膜运动引发的振动信号,以及摄像头传感器捕捉指尖脉搏信号。针对易受运动干扰的心跳信号检测,首先提升声学信号感知粒度,继而提出IQ-MVED模型有效消除运动伪影。在视频信号提取脉搏波方面,针对泛化性能不足等问题,开发TS-CAN网络与元学习模型实现个性化脉搏信号重建。最终,通过提取重建心搏与脉搏信号的时频特征映射实现血压计算。经50名受试者综合测试,系统在舒张压和收缩压测量中分别取得4.27mmHg和6.36mmHg的标准差精度。

图5 基于智能手机的血压检测

图6 系统架构
该项成果是开云kaiyun体育官方网站胡新荣教授团队青年教师吴渊博士在物联网与智慧医疗、物联网与人机交互领域的研究,相关成果发表在CCF A类期刊《IEEE Transactions on Mobile Computing》。吴渊博士为第一作者,论文的第一单位为武汉纺织大学。
近年来,在学校的大力支持下,开云kaiyun体育官方网站凝聚学科方向,加强科研团队建设,科研成效逐渐凸显,相继发表了一批高水平论文,受到了同行的关注和认可。
